
Swimmer’s Plaque: Causes and How to Protect Your Smile
For millions of people, swimming isn’t just a summer activity; it’s a lifestyle. Whether you swim competitively, train for triathlons, or simply love relaxing laps in the pool, there’s no denying the health benefits of this low-impact sport. But here’s something many swimmers don’t expect: spending long hours in the pool can leave an unexpected mark on your smile.
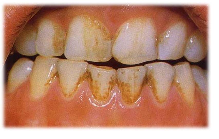
It’s called swimmer’s plaque, sometimes known more technically as swimmer’s calculus. This mysterious yellow-brown buildup can appear on the front teeth of frequent swimmers, often surprising even those who brush and floss daily. But what exactly causes swimmer’s plaque, and more importantly, how can you prevent it? Let’s dive in.
What Is Swimmer’s Plaque?
Swimmer’s plaque is a form of calculus (also called tartar) that builds up faster than normal due to repeated exposure to pool water, especially if the pool is highly chlorinated. Unlike typical plaque—which is a sticky film of bacteria that everyone develops daily—calculus is hardened plaque that’s been mineralized by substances in saliva or water.
For swimmers, this mineralization process can speed up because of the chemistry of pool water. Over time, this creates noticeable brown, yellow, or even greenish stains, often along the front teeth, especially the upper incisors. It’s most common among competitive swimmers or anyone who spends several hours each week in chlorinated pools.
The Hidden Chemistry: Why Does It Happen?
To understand swimmer’s plaque, it helps to know a bit about pool chemistry. Most pools are disinfected with chlorine to kill harmful bacteria and keep water safe. But to be effective, chlorine must be carefully balanced with the water’s pH level.
When the pH of the pool is too high (above 7.8) or chlorine is kept at high levels for extended periods, it raises the pH inside your mouth when you swim. This change encourages minerals like calcium and phosphate—which are naturally found in saliva and sometimes in water—to precipitate faster and stick to tooth surfaces.
Combined with frequent swimming and exposure of teeth to water (especially if you swim with your mouth open or breathe heavily through the mouth), this accelerates calculus buildup. That’s why swimmer’s plaque is more common in swimmers who train multiple times a week, rather than occasional recreational swimmers.
Who Gets Swimmer’s Plaque?
Swimmer’s plaque is typically found in:
Competitive swimmers who spend more than six hours a week in the pool
Synchronized swimmers and water polo athletes
Swim instructors and lifeguards who stay in the pool daily
Children or teens training intensively in swim clubs
It’s not usually a concern for people who swim casually for 30–60 minutes a few times a month.
How It Looks: Signs and Symptoms
While swimmer’s plaque itself is usually not painful, it can be concerning from an esthetic standpoint:
Visible brown, yellow, or dark stains on the front teeth, especially the top front teeth
Stains are usually hard, rough, and resistant to normal brushing
Teeth may look discolored, making swimmers feel self-conscious
Because it’s actually mineralized tartar, swimmer’s plaque can’t be removed by regular brushing or whitening toothpaste alone. It requires professional dental cleaning.
Is It Harmful?
Good news: swimmer’s plaque is mainly a cosmetic issue. However, there are still reasons to take it seriously:
It makes teeth look stained and less attractive
The rough surface of calculus can attract more bacterial plaque, which can increase the risk of gingivitis or gum disease
Over time, very heavy calculus buildup can contribute to bad breath and minor gum irritation
Regular dental visits help prevent swimmer’s plaque from turning into a more serious oral health problem.
Prevention: How Swimmers Can Protect Their Teeth
If swimming is part of your life, there’s no need to give it up! Instead, focus on these simple prevention strategies:
✅ 1. Rinse after every swim
After leaving the pool, rinse your mouth thoroughly with fresh water to wash away chlorinated water and neutralize your mouth’s pH.
✅ 2. Brush and floss daily
This removes soft plaque before it hardens into calculus. Pay extra attention to the front teeth where buildup usually starts.
✅ 3. Get regular professional cleanings
Your dentist or hygienist can remove any early calculus and polish away surface stains before they become noticeable.
✅ 4. Mouthguard use
Some competitive swimmers wear a custom-fit mouthguard to limit pool water contact with teeth.
✅ 5. Monitor pool chemistry
If you own a pool, keep chlorine and pH balanced. If you train at a public pool, ask about their water maintenance schedule.
✅ 6. Stay hydrated
Swimming may dry out your mouth, reducing saliva (which naturally helps protect teeth). Drinking water helps keep saliva flowing.
Why It Matters: Oral Health and Confidence
For swimmers, especially teens and competitive athletes, visible stains can hurt confidence. Smiling less or feeling embarrassed about tooth color isn’t something anyone should accept as the cost of a sport they love.
Taking proactive steps—and knowing swimmer’s plaque is manageable—helps swimmers stay healthy, feel confident, and keep flashing those winning smiles poolside.
What to Do If You Notice Stains
If you suspect you have swimmer’s plaque:
See your dentist: Professional cleaning can safely remove the buildup
Ask about prevention: Your dentist may suggest specialized toothpaste or rinses
Keep track of pool time: Even slight reductions in pool hours (if possible) can slow calculus formation
Never try to scrape or grind away stains yourself—it can damage enamel.
Beyond the Pool: Healthy Habits Matter
While swimmer’s plaque is linked to chlorinated water, the foundation of oral health is the same for everyone:
Brush twice a day with fluoride toothpaste
Floss once a day
Limit sugary drinks and snacks
Visit the dentist regularly
For swimmers, adding pool-specific habits—like rinsing afterward—makes a big difference.
Final Thoughts: Swimming and Smiling Without Worry
Swimming builds strength, stamina, and discipline—and the last thing it should cost you is your smile. By understanding swimmer’s plaque, you can protect your teeth without giving up the sport you love.
With balanced pool chemistry, smart oral hygiene, and professional care, swimmer’s plaque becomes a small challenge rather than a permanent problem. So keep swimming, keep smiling, and remember: your oral health can stay as strong and healthy as the rest of you—even underwater.
Recent Articles
For millions of people, swimming isn’t just a summer activity—it’s a lifestyle. Whether you swim competitively, train for triathlons, or simply love relaxing laps in the pool, there’s no denying the health benefits of this low-impact sport. But here’s something many swimmers don’t expect: spending long hours in the pool can leave an unexpected mark on your smile.
It’s called swimmer’s plaque, sometimes known more technically as swimmer’s calculus. This mysterious yellow-brown buildup can appear on the front teeth of frequent swimmers, often surprising even those who brush and floss daily. But what exactly causes swimmer’s plaque, and more importantly—how can you prevent it? Let’s dive in.
What Is Swimmer’s Plaque?
Swimmer’s plaque is a form of calculus (also called tartar) that builds up faster than normal due to repeated exposure to pool water, especially if the pool is highly chlorinated. Unlike typical plaque—which is a sticky film of bacteria that everyone develops daily—calculus is hardened plaque that’s been mineralized by substances in saliva or water.
For swimmers, this mineralization process can speed up because of the chemistry of pool water. Over time, this creates noticeable brown, yellow, or even greenish stains, often along the front teeth, especially the upper incisors. It’s most common among competitive swimmers or anyone who spends several hours each week in chlorinated pools.
The Hidden Chemistry: Why Does It Happen?
To understand swimmer’s plaque, it helps to know a bit about pool chemistry. Most pools are disinfected with chlorine to kill harmful bacteria and keep water safe. But to be effective, chlorine must be carefully balanced with the water’s pH level.
When the pH of the pool is too high (above 7.8) or chlorine is kept at high levels for extended periods, it raises the pH inside your mouth when you swim. This change encourages minerals like calcium and phosphate—which are naturally found in saliva and sometimes in water—to precipitate faster and stick to tooth surfaces.
Combined with frequent swimming and exposure of teeth to water (especially if you swim with your mouth open or breathe heavily through the mouth), this accelerates calculus buildup. That’s why swimmer’s plaque is more common in swimmers who train multiple times a week, rather than occasional recreational swimmers.
Who Gets Swimmer’s Plaque?
Swimmer’s plaque is typically found in:
Competitive swimmers who spend more than six hours a week in the pool
Synchronized swimmers and water polo athletes
Swim instructors and lifeguards who stay in the pool daily
Children or teens training intensively in swim clubs
It’s not usually a concern for people who swim casually for 30–60 minutes a few times a month.
How It Looks: Signs and Symptoms
While swimmer’s plaque itself is usually not painful, it can be concerning from an esthetic standpoint:
Visible brown, yellow, or dark stains on the front teeth, especially the top front teeth
Stains are usually hard, rough, and resistant to normal brushing
Teeth may look discolored, making swimmers feel self-conscious
Because it’s actually mineralized tartar, swimmer’s plaque can’t be removed by regular brushing or whitening toothpaste alone. It requires professional dental cleaning.
Is It Harmful?
Good news: swimmer’s plaque is mainly a cosmetic issue. However, there are still reasons to take it seriously:
It makes teeth look stained and less attractive
The rough surface of calculus can attract more bacterial plaque, which can increase the risk of gingivitis or gum disease
Over time, very heavy calculus buildup can contribute to bad breath and minor gum irritation
Regular dental visits help prevent swimmer’s plaque from turning into a more serious oral health problem.
Prevention: How Swimmers Can Protect Their Teeth
If swimming is part of your life, there’s no need to give it up! Instead, focus on these simple prevention strategies:
✅ 1. Rinse after every swim
After leaving the pool, rinse your mouth thoroughly with fresh water to wash away chlorinated water and neutralize your mouth’s pH.
✅ 2. Brush and floss daily
This removes soft plaque before it hardens into calculus. Pay extra attention to the front teeth where buildup usually starts.
✅ 3. Get regular professional cleanings
Your dentist or hygienist can remove any early calculus and polish away surface stains before they become noticeable.
✅ 4. Mouthguard use
Some competitive swimmers wear a custom-fit mouthguard to limit pool water contact with teeth.
✅ 5. Monitor pool chemistry
If you own a pool, keep chlorine and pH balanced. If you train at a public pool, ask about their water maintenance schedule.
✅ 6. Stay hydrated
Swimming may dry out your mouth, reducing saliva (which naturally helps protect teeth). Drinking water helps keep saliva flowing.
Why It Matters: Oral Health and Confidence
For swimmers, especially teens and competitive athletes, visible stains can hurt confidence. Smiling less or feeling embarrassed about tooth color isn’t something anyone should accept as the cost of a sport they love.
Taking proactive steps—and knowing swimmer’s plaque is manageable—helps swimmers stay healthy, feel confident, and keep flashing those winning smiles poolside.
What to Do If You Notice Stains
If you suspect you have swimmer’s plaque:
See your dentist: Professional cleaning can safely remove the buildup
Ask about prevention: Your dentist may suggest specialized toothpaste or rinses
Keep track of pool time: Even slight reductions in pool hours (if possible) can slow calculus formation
Never try to scrape or grind away stains yourself—it can damage enamel.
Beyond the Pool: Healthy Habits Matter
While swimmer’s plaque is linked to chlorinated water, the foundation of oral health is the same for everyone:
Brush twice a day with fluoride toothpaste
Floss once a day
Limit sugary drinks and snacks
Visit the dentist regularly
For swimmers, adding pool-specific habits—like rinsing afterward—makes a big difference.
Final Thoughts: Swimming and Smiling Without Worry
Swimming builds strength, stamina, and discipline—and the last thing it should cost you is your smile. By understanding swimmer’s plaque, you can protect your teeth without giving up the sport you love.
With balanced pool chemistry, smart oral hygiene, and professional care, swimmer’s plaque becomes a small challenge rather than a permanent problem. So keep swimming, keep smiling, and remember: your oral health can stay as strong and healthy as the rest of you—even underwater.
Recent Articles
Peri-Implantitis Treatment & Prevention Methods
Peri-Implantitis Treatment & Prevention Methods Peri-implantitis remains one of the most significant biological complications affecting dental implants, posing a serious threat to long-term implant [...]
Latest Sinus Lifting Techniques in Modern Implant Dentistry
Latest Sinus Lifting Techniques in Modern Implant Dentistry A Comprehensive Clinical Review Introduction to Sinus Lifting in Implantology Sinus lifting, or maxillary sinus floor [...]
Biomechanics of the Triple Abutment & BOPiT Concept
Dental Biomechanics · Implant Science · Clinical Evidence Biomechanics of the Triple Abutment & BOPiT Concept How a saddle-shaped mathematical surface is rewriting the rules of load distribution [...]
The Woman Who Proved One Implant Could Hold Three Crowns
The Woman Who Proved One Implant Could Hold Three Crowns While the dental establishment looked away, Dr. Luciana Colepícolo spent 12 years building the [...]
ENPP1, The Molecular Brake That Limits Tissue Healing
ENPP1, The Molecular Brake That Limits Tissue Healing Introduction: A New Biological Barrier to Dental Regeneration Meet ENPP1—a protein most dentists have never heard [...]
The Rise of Self‑Healing Dental Biomaterials
The Rise of Self‑Healing Dental Biomaterials Introduction In modern restorative dentistry, durability and longevity of materials remain among the greatest clinical challenges. Traditional dental [...]
















































