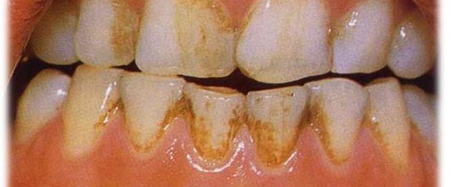
Swimmer’s Plaque: Causes and How to Protect Your Smile
Copy and paste this URL into your WordPress site to embed
Copy and paste this code into your site to embed