
التقويم الشفاف و علاج الابتسامة اللثوية
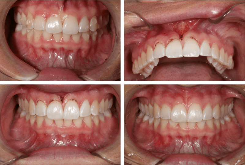
تحدثنا في المقالة السابقة عن أسباب وتشخيص الابتسامة اللثوية ، (للرجوع إليها اضغط هنـا ). سنذكركم بتعريفها بصورة مختصرة، إنها تعني ظهور جزء كبير من اللثة أثناء الابتسام مما قد يجعل صاحبة الابتسامة خجولة بسبب ابتسامتها ، فقد تضطر في كثر من الأحيان إلى إخفاء فمها أثناء الابتسام لتجنب إظهار اللثة أثناء الابتسامة.
والآن، في هذا المقال، سوف نتعمق في خيارات العلاج المختلفة المتاحة، حيث تشمل هذه الحلول حلولًا تقويميّة وحلولًا غير تقويمية سنناقش كلًّا منها على حدةٍ.
أولاً: الحلول التقويمية للتصحيح الابتسامة اللثوية :
1- التقويم الشفاف
يمكن أن يكون التقويم الشفاف، مثل Invisalign و ClearCorrect و Alignova، علاجًا فعالًا في حالات الابتسامة اللثوية، خاصةً عندما يكون السبب مرتبطًا بمشاكل الأسنان أو الأنسجة الرخوة. يعمل التقويم الشفاف على تحريك الأسنان عن طريق الضغط لتغيير وضع الأسنان تدريجياً، مما قد يقلل من الظهور اللثوي عن طريق:
تصحيح نمو الأسنان السلبي: يمكن أن يساعد التقويم الشفاف في إعادة وضع الأسنان إلى مستوى مناسب، مما يقلل من كمية أنسجة اللثة التي تظهر عند الابتسام.
- تعديل المستوى الإطباقي: من خلال تغيير العلاقات الإطباقية بين الأسنان أثناء العض، يمكن للتقويم الشفاف تحسين كافة النواحي الجمالية للابتسامة.
من أكثر أسباب جاذبية التقويم الشفاف بشكل خاص هو خفاء مظهره وسهولة إزالته. ومع ذلك، يجدر بنا أن ندرك أن تحريك الأسنان في الاتجاه التاجي أو الذروي هما أصعب ما يمكن للتقويم الشفاف أن يقوم به من حركاتٍ. خاصّةً عندما يتم طمر أو شد الأسنان الأمامية أكثر من 3 ملم، وقتها يجب النظر في استخدام الأجهزة الثابتة بدلاً من ذلك.
وفّر 4 ساعات من وقت عيادتك في علاجات التقويم الشفاف. جرّب خدمة تخطيط العلاج لدينا. ستوفر لك هذه الخدمة 4 ساعات من وقت الكرسي، وتجعل اختيار الحالة والتخطيط للعلاج أكثر دقّةً واحترافيّةً مع فريق .Dentinova
2- دمج التقويم مع الجراحة
أ. التصحيح الجراحي لعلاج الابتسامة اللثوية
بالنسبة للحالات التي تكون فيها أنسجة اللثة المفرطة هي المشكلة الأساسية، يمكن أن يكون التصحيح الجراحي لحواف اللثة علاجًا فعالًا. يتضمن هذا الإجراء، الذي غالبًا ما يقوم به طبيب اللثة، إعادة تشكيل خط اللثة لتحقيق ابتسامة أكثر توازناً. عند دمجها مع تقويم الأسنان الشفاف، يمكن تحسين النتائج، حيث يتم تعديل الأسنان واللثة لخلق مظهر متناغم، وأحيانًا يلجأ الجرّاح إلى تحرير جزء من لجام الشفة ليسهل عملية التموضع وإخفاء الظهور اللثوي.

ب. إطالة التاج
إطالة التاج هو خيار جراحي آخر يمكن أن يقلل من الابتسامة اللثوية. يتضمن هذا الإجراء إزالة أنسجة اللثة الزائدة وأحيانًا العظام لكشف المزيد من سطح السن. غالبًا ما يتم استخدامه جنبًا إلى جنب مع علاجات تقويم الأسنان والحشو والتركيبات لضمان محاذاة الأسنان بشكل صحيح وأن خط اللثة متناسق مع الأسنان من الناحية الجمالية.
ثانيًا: الحلول الغير-تقويمية لحالات الابتسامة اللثوية :
1- حقن البوتوكس
إطالة التاج هو خيار جراحي آخر يمكن أن يقلل من الابتسامة اللثوية. يتضمن هذا الإجراء إزالة أنسجة اللثة الزائدة وأحيانًا العظام لكشف المزيد من سطح السن. غالبًا ما يتم استخدامه جنبًا إلى جنب مع علاجات تقويم الأسنان والحشو والتركيبات لضمان محاذاة الأسنان بشكل صحيح وأن خط اللثة متناسق مع الأسنان من الناحية الجمالية.
2- جراحات إعادة تموضع الشفاه
جراحات إعادة تموضع الشفاه هي إجراء عالي التقنية يمكن أن يساعد في تقليل الظهور اللثوي أثناء الابتسام عن طريق تغيير وضع وحركة الشفة العليا. تتضمن هذه الجراحة إعادة وضع الشفة لتغطية المزيد من اللثة عند الابتسام. على الرغم من فعاليته، إلا أنه ينطوي على خطر إحداث عدم تناسق في وجه المريض، مما يجعل من الضروري اختيار جرّاح متمرّس.
3- جراحات تقويم العظام في حالات الابتسامة اللثوية الشديدة
بالنسبة لحالات الابتسامة اللثوية الشديدة ذات الأسباب العظمية، قد تكون جراحة تقويم العظام ضرورية. يتضمن ذلك إعادة وضع الفك العلوي إلى موقع أكثر مثالية. إنه خيار أكثر تعقيدًا من الحلول الأخرى، وعادةً ما يكون مخصصًا للحالات التي تكون فيها الحلول الأبسط غير كافيةٍ. يمكن أن تكون النتائج فعّالةً للغاية، مما يخلق ابتسامةً متوازنةً وممتعةً من الناحية الجمالية.
الخلاصة
يتطلّب علاج الابتسامات اللثوية نهجًا شاملاً، مع الأخذ في الاعتبار الأسباب الكامنة وأفضل خيارات العلاج المتاحة. سواءً باستخدام حلول تقويم الأسنان مثل التقويم الشفاف أو دمجها مع الأساليب الجراحية وغير الجراحية، فإن تحقيق النتيجة المرجوة يتضمن التخطيط والتنفيذ بعنايةٍ. لا تتعجل في قرارك ولا تنس أن تستمع جيدًا لطبيب التقويم الخاص بك لأن رأيه وتوجيهاته ستكون ذات أهمية كبيرة في احتيار الحل الأفضل والأنسب بناء على حالتك، حيث أن لكل حالة ظروفها الخاصة التي تستوجب خطة علاجية خاصة بها.
ترقبوا المزيد من الأفكار والنصائح حول تحقيق نتائج واقعية وآمنة ويمكن التنبؤ بها مع مواءمات واضحة.
لتلقي استشارات بخصوص التقويم الشفاف أو طلب خطط علاجية، يسعدنا التواصل معكم من خلال ملء الاستمارة، للتفاصيل اضغط هنا
Recent Articles
تحدثنا في المقالة السابقة عن أسباب وتشخيص الابتسامة اللثوية ، (للرجوع إليها اضغط هنـا ). سنذكركم بتعريفها بصورة مختصرة، إنها تعني ظهور جزء كبير من اللثة أثناء الابتسام مما قد يجعل صاحبة الابتسامة خجولة بسبب ابتسامتها ، فقد تضطر في كثر من الأحيان إلى إخفاء فمها أثناء الابتسام لتجنب إظهار اللثة أثناء الابتسامة.
والآن، في هذا المقال، سوف نتعمق في خيارات العلاج المختلفة المتاحة، حيث تشمل هذه الحلول حلولًا تقويميّة وحلولًا غير تقويمية سنناقش كلًّا منها على حدةٍ.
أولاً: الحلول التقويمية للتصحيح الابتسامة اللثوية :
1- التقويم الشفاف
يمكن أن يكون التقويم الشفاف، مثل Invisalign و ClearCorrect و Alignova، علاجًا فعالًا في حالات الابتسامة اللثوية، خاصةً عندما يكون السبب مرتبطًا بمشاكل الأسنان أو الأنسجة الرخوة. يعمل التقويم الشفاف على تحريك الأسنان عن طريق الضغط لتغيير وضع الأسنان تدريجياً، مما قد يقلل من الظهور اللثوي عن طريق:
تصحيح نمو الأسنان السلبي: يمكن أن يساعد التقويم الشفاف في إعادة وضع الأسنان إلى مستوى مناسب، مما يقلل من كمية أنسجة اللثة التي تظهر عند الابتسام.
- تعديل المستوى الإطباقي: من خلال تغيير العلاقات الإطباقية بين الأسنان أثناء العض، يمكن للتقويم الشفاف تحسين كافة النواحي الجمالية للابتسامة.
من أكثر أسباب جاذبية التقويم الشفاف بشكل خاص هو خفاء مظهره وسهولة إزالته. ومع ذلك، يجدر بنا أن ندرك أن تحريك الأسنان في الاتجاه التاجي أو الذروي هما أصعب ما يمكن للتقويم الشفاف أن يقوم به من حركاتٍ. خاصّةً عندما يتم طمر أو شد الأسنان الأمامية أكثر من 3 ملم، وقتها يجب النظر في استخدام الأجهزة الثابتة بدلاً من ذلك.
وفّر 4 ساعات من وقت عيادتك في علاجات التقويم الشفاف. جرّب خدمة تخطيط العلاج لدينا. ستوفر لك هذه الخدمة 4 ساعات من وقت الكرسي، وتجعل اختيار الحالة والتخطيط للعلاج أكثر دقّةً واحترافيّةً مع فريق .Dentinova
2- دمج التقويم مع الجراحة
أ. التصحيح الجراحي لعلاج الابتسامة اللثوية
بالنسبة للحالات التي تكون فيها أنسجة اللثة المفرطة هي المشكلة الأساسية، يمكن أن يكون التصحيح الجراحي لحواف اللثة علاجًا فعالًا. يتضمن هذا الإجراء، الذي غالبًا ما يقوم به طبيب اللثة، إعادة تشكيل خط اللثة لتحقيق ابتسامة أكثر توازناً. عند دمجها مع تقويم الأسنان الشفاف، يمكن تحسين النتائج، حيث يتم تعديل الأسنان واللثة لخلق مظهر متناغم، وأحيانًا يلجأ الجرّاح إلى تحرير جزء من لجام الشفة ليسهل عملية التموضع وإخفاء الظهور اللثوي.

ب. إطالة التاج
إطالة التاج هو خيار جراحي آخر يمكن أن يقلل من الابتسامة اللثوية. يتضمن هذا الإجراء إزالة أنسجة اللثة الزائدة وأحيانًا العظام لكشف المزيد من سطح السن. غالبًا ما يتم استخدامه جنبًا إلى جنب مع علاجات تقويم الأسنان والحشو والتركيبات لضمان محاذاة الأسنان بشكل صحيح وأن خط اللثة متناسق مع الأسنان من الناحية الجمالية.
ثانيًا: الحلول الغير-تقويمية لحالات الابتسامة اللثوية :
1- حقن البوتوكس
إطالة التاج هو خيار جراحي آخر يمكن أن يقلل من الابتسامة اللثوية. يتضمن هذا الإجراء إزالة أنسجة اللثة الزائدة وأحيانًا العظام لكشف المزيد من سطح السن. غالبًا ما يتم استخدامه جنبًا إلى جنب مع علاجات تقويم الأسنان والحشو والتركيبات لضمان محاذاة الأسنان بشكل صحيح وأن خط اللثة متناسق مع الأسنان من الناحية الجمالية.
2- جراحات إعادة تموضع الشفاه
جراحات إعادة تموضع الشفاه هي إجراء عالي التقنية يمكن أن يساعد في تقليل الظهور اللثوي أثناء الابتسام عن طريق تغيير وضع وحركة الشفة العليا. تتضمن هذه الجراحة إعادة وضع الشفة لتغطية المزيد من اللثة عند الابتسام. على الرغم من فعاليته، إلا أنه ينطوي على خطر إحداث عدم تناسق في وجه المريض، مما يجعل من الضروري اختيار جرّاح متمرّس.
3- جراحات تقويم العظام في حالات الابتسامة اللثوية الشديدة
بالنسبة لحالات الابتسامة اللثوية الشديدة ذات الأسباب العظمية، قد تكون جراحة تقويم العظام ضرورية. يتضمن ذلك إعادة وضع الفك العلوي إلى موقع أكثر مثالية. إنه خيار أكثر تعقيدًا من الحلول الأخرى، وعادةً ما يكون مخصصًا للحالات التي تكون فيها الحلول الأبسط غير كافيةٍ. يمكن أن تكون النتائج فعّالةً للغاية، مما يخلق ابتسامةً متوازنةً وممتعةً من الناحية الجمالية.
الخلاصة
يتطلّب علاج الابتسامات اللثوية نهجًا شاملاً، مع الأخذ في الاعتبار الأسباب الكامنة وأفضل خيارات العلاج المتاحة. سواءً باستخدام حلول تقويم الأسنان مثل التقويم الشفاف أو دمجها مع الأساليب الجراحية وغير الجراحية، فإن تحقيق النتيجة المرجوة يتضمن التخطيط والتنفيذ بعنايةٍ. لا تتعجل في قرارك ولا تنس أن تستمع جيدًا لطبيب التقويم الخاص بك لأن رأيه وتوجيهاته ستكون ذات أهمية كبيرة في احتيار الحل الأفضل والأنسب بناء على حالتك، حيث أن لكل حالة ظروفها الخاصة التي تستوجب خطة علاجية خاصة بها.
ترقبوا المزيد من الأفكار والنصائح حول تحقيق نتائج واقعية وآمنة ويمكن التنبؤ بها مع مواءمات واضحة.
لتلقي استشارات بخصوص التقويم الشفاف أو طلب خطط علاجية، يسعدنا التواصل معكم من خلال ملء الاستمارة، للتفاصيل اضغط هنا
Recent Articles
ENPP1, The Molecular Brake That Limits Tissue Healing
ENPP1, The Molecular Brake That Limits Tissue Healing Introduction: A New Biological Barrier to Dental Regeneration Meet ENPP1—a protein most dentists have never heard [...]
The Rise of Self‑Healing Dental Biomaterials
The Rise of Self‑Healing Dental Biomaterials Introduction In modern restorative dentistry, durability and longevity of materials remain among the greatest clinical challenges. Traditional dental [...]
Water Fluoridation and IQ Scores in Offspring
Water Fluoridation and IQ Scores in Offspring Community water fluoridation has long been regarded as one of the most effective public health interventions for [...]
Dental X-Rays and Brain Tumors
Dental X-Rays and Brain Tumors Dental radiography is a cornerstone of modern dentistry, enabling clinicians to diagnose caries, periodontal disease, and periapical pathology with [...]
Latest Extraction Socket Regeneration Techniques
Latest Extraction Socket Regeneration Techniques Introduction The alveolar bone surrounding a tooth is a highly specialized structure characterized by a distinctive microarchitecture. One of [...]
Effect of Dental Implant Overdentures on Cognitive Functions
Effect of Dental Implant Overdentures on Cognitive Functions Recent research increasingly highlights the link between oral health and brain function, suggesting that tooth loss [...]















































